대상포진은 피부에 통증을 유발하는 발진이나 물집을 일으키는 바이러스 감염입니다. 수두를 일으키는 것과 같은 바이러스인 수두 대상포진 바이러스에 의해 발생합니다. 대상포진 증상은 몸의 한 부분에 발진이나 물집 형태로 가장 자주 나타납니다. 모든 연령에서 나타나지만 특히 50세 이상, 나이가 들어 감에 따라 증가합니다. 대상포진 증상, 치료법 그리고 예방법에 대해 알아보시기 바랍니다.
대상포진 증상
대상포진은 초기 증상을 느끼기 시작한 후 발진이 완전히 사라질 때까지 3~5주 정도 걸릴 수 있습니다.
바이러스는 특정 신경을 통해 이동하기 때문에 대상포진이 몸 한쪽에 있는 밴드 형태처럼 발생하며 대상포진은 어느 정도 특정 부위에 국한되며 몸 전체로 퍼지지 않습니다.
대상포진 초기 증상
- 열
- 오한
- 두통
- 피로
- 빛에 대한 민감
- 배탈
우선 발진이 나타나기 며칠 전 피부 부위에 통증을 느낄 수 있으며 통증은 가려움, 화상, 찌르거나 쏘는 것으로 나타납니다. 이런 증상은 보통 발진이 나타나기 전에 일어납니다.
대상포진 초기 증상이 나타난 후 며칠 후 나타나는 증상
- 가렵고, 따끔따끔한 피부 부위의 타는 듯한 느낌이 납니다.
- 환부의 피부가 붉어집니다.
- 피부의 작은 부분에 발진이 생깁니다.
- 액체로 채워진 물집이 열리고 딱지가 생깁니다.
- 영향을 받는 피부 부위의 가벼운 통증에서 심한 통증을 동반합니다.

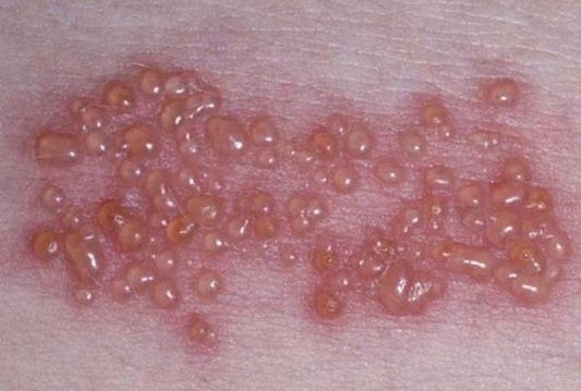
초기 증상이 나타난 이후 며칠이 지난 후, 솟아오른 발진은 보통 몸 한쪽에 띠처럼 나타납니다. 발진은 일반적으로 허리선 주변이나 얼굴, 목의 한쪽 또는 가슴, 복부, 등에 나타나며 그 밖에 팔과 다리를 포함한 다른 영역에서도 발생할 수 있습니다.

3일에서 4일 이내에, 발진은 붉고, 액체로 가득 찬 고통스러운 물집으로 나타나며 이 물집들은 약 10일 이내에 마르기 시작하고 껍질이 벗겨지며 딱지는 약 2~3주 후에 제거됩니다.
대상포진 전염성
대상포진이 있는 사람은 다른 사람에게 대상포진을 퍼뜨릴 수 없지만 수두를 퍼뜨릴 수 있습니다. 수두 대상포진 바이러스는 물집에서 흘러나오는 액체와 다른 사람의 피부에 직접 접촉을 한 경우 전염될 수 있습니다. 대상포진은 공기 중 바이러스가 전파로 수두 대상포진 바이러스를 흡입하여 전파되는 경우는 거의 없습니다.
만약 발진이 물집 단계에 있다면, 수두 병력이 없거나 수두 백신을 맞지 않은 사람들을 멀리하고 발진은 깨끗한 거즈 또는 밴드로 계속 덮도록 합니다.
발진이 마르고 껍질이 벗겨질 때까지 전염성을 갖고 있으며 수두 대상포진 바이러스는 수두를 앓은 적이 없거나 수두 예방 접종을 받지 않은 사람에게만 수두를 유발할 수 있습니다.
대상포진 빨리 낫는 법
대상포진에 대한 치료법은 없지만 증상을 관리하기 위한 치료법은 다음과 같습니다.
항바이러스제
이 약들은 특히 대상포진의 첫 징후로부터 72시간 이내에 치료를 시작하면 불편함을 완화하고 증상을 더 빨리 멈추게 할 수 있습니다. 항바이러스제는 아래와 같습니다.


- 아시클로버 (Acyclovir)
- 팜시클로버 (Famciclovir)
- 발라시클로버 (Valacyclovir)
처방전 없이 살 수 있는 진통제
- 아세트아미노펜 (타이레놀)
- 이부프로펜 (모트린, 애드빌)
대상포진 발진으로 세균 감염이 발생하면 항균제를 처방받을 수 있습니다. 대상 포진이 눈이나 얼굴의 다른 부분에 영향을 미칠 경우 프레드니손과 같은 항 염증제가 처방될 수 있습니다.
대상포진 예방법
대상포진과 포진 후 신경통이 발생할 가능성을 줄이기 위해 백신을 사용할 수 있습니다. 조스타박스, 스카이조스터 그리고 싱그릭스 백신입니다.

조스타박스와 스카이조스터는 1회 접종이며 싱그릭스(재조합형 대상포진 백신)는 근육주사로 팔뚝에 2회 접종(1차 접종 후 2~6개월 후 2차 접종)합니다. 싱그릭스는 대상포진과 포진 후 신경통 예방에 90% 이상 효과가 있는 것으로 나타났으며 백신 접종 후 최소 4년간 85% 이상의 효과를 유지합니다.
대상포진 백신은 보통 50세 이상을 대상으로 접종을 하지만 대상포진에 자주 걸리거나 신경통과 같은 합병증 위험이 높은 경우 의사의 판단에 따라 30~40대도 맞을 수 있습니다.
대상포진 원인
대상포진은 수두를 일으키는 것과 같은 바이러스인 수두 대상포진 바이러스에 의해 발생합니다.
어릴 때 수두에 걸리면 수두 바이러스를 물리치고 수두의 신체적 징후는 사라지지만 바이러스는 몸에 남아 있습니다. 성인이 되어, 신체 면역력이 떨어지면 그 바이러스는 다시 활동 상태로 변하게 되며 수두 대상포진 바이러스는 대상포진 형태로 나타나게 됩니다.
대상포진이 사라진 후에도 같은 부위에 신경통이 지속될 수 있습니다. 대상포진 후 신경통은 수개월 또는 수년간 지속될 수 있습니다. 대상포진에 걸린 사람들 중 10% 이상이 포진 후 신경통이 발생합니다. 어떤 사람들은 대상포진 후 신경통에 걸리고 다른 사람들은 그렇지 않은지 명확한 원인은 밝혀진 것이 없지만 대상포진 이후 신경이 더 예민해지거나 바이러스가 중추신경계를 침범해 손상을 입는 것으로 추론합니다.
'바디 테라피' 카테고리의 다른 글
| 알레르기 비염 치료 (0) | 2023.01.27 |
|---|---|
| 하지정맥류 증상 (0) | 2023.01.26 |
| 영구 탈모 유발하는 두피 모낭염 치료 (0) | 2023.01.24 |
| 모낭염 치료법, 유형과 알아야할 예방법 (0) | 2023.01.23 |
| 매독 증상, 방치 시 장기 손상을 줄 수 있습니다 (0) | 2023.01.21 |
댓글