치매와 혼동하기 쉬운 파킨슨병은 치매 다음으로 흔한 퇴행성 뇌질환입니다.
퇴행성 뇌질환이란 뇌가 점차 나이가 들면서 생기는 질환으로

보통 치매는 인지 장애, 기억 장애 등을 의미하며 파킨슨병은 행동 장애, 운동 장애를 의미합니다.
좀 더 자세한 파킨슨병 초기 증상과 원인 그리고 진단과 치료 방법에 대해 알아보시기 바랍니다.
파킨슨병 초기증상
파킨슨병은 뇌의 신경세포의 노화로 운동 능력이 떨어지는 증상이 나타납니다.
대표적인 증상으로는 아래와 같습니다.
1. 손, 발 움직임이 느려진다.
파킨슨병의 가장 주된 증상으로 평상시 하던 행동보다 시간이 많이 걸리고 동작 시 팔이나 발이 잘 움직이지 않거나 또는 사물에 부딪히는 경우가 잦아집니다.

2. 눈 깜빡거림이 감소되고 얼굴 표정이 무표정
눈 깜빡거림이 보통 1분 12~15회이나 파킨슨병 증상이 있는 경우 횟수가 확연히 줄어들고 얼굴 표정이 느려지고 무표정해집니다.

3. 손, 발, 턱이 떨린다.
파킨슨 증상으로 손, 발, 턱의 흔들림이 발생합니다.
떨림의 증상은 대화 중이나 TV 시청 등 다른 일에 집중할 때 본인도 모르게 떨림 증상이 나타나며
가만히 있을 때 떨림이 심하다가 움직이면 떨림 증상이 사라집니다.

보통 왼쪽 또는 오른쪽 중 한쪽부터 발생하며 시간이 지남에 따라 양쪽 모두 떨림 증상이 나타나거나 한쪽의 떨림이 심해지기도 합니다.
4. 몸이 뻣뻣하게 굳어진다.
뭄이 뻣뻣해지는 증상으로 특히 어깨 관절의 오십견이나 다리의 통증 등 나타납니다.
파킨슨병 증상으로 시간이 지나면서 보행 장애, 낙상 등의 합병증이 나타납니다.

파킨슨병 초기 증상을 처음 겪게 되는 대부분 환자분들은 정형외과를 찾아가는 경우가 많습니다.
하지만 60세 이상의 위와 같은 증상이 발견된 경우 신경과를 먼저 내원하여 진단을 받으실 것을 권장드립니다.
파킨슨병 원인
파킨슨병 원인으로는 우리의 뇌가 나이가 들면서 중뇌 부분에 도파민 세포를 분배하는 흑색질이라는 부분에 도파민 분비가 줄어들면서 운동 증상이 느려지는 것입니다.

파킨슨병 진단 방법
파킨슨병은 완치는 불가하지만 초기에 전문가 진단 시 충분히 일상생활이 가능합니다.

1. 초기증상 발병 시 전문가 진단
전문가의 진단으로 환자의 떨림과 행동의 느림 등에 대한 운동 정도를 측정하고
근육의 뻣뻣함 부분 역시 신경학적 검사를 통해 파킨슨병에 대한 진단을 합니다.
2. 영상 검사
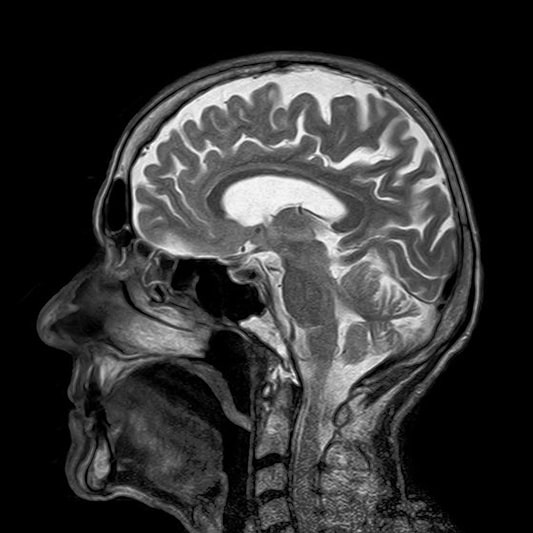
파킨슨병 진단 시 가장 중요한 MRI 검사입니다.
MRI 검사를 통해 파킨슨병인지 아니면 뇌병변으로 인한 증상인지를 판별합니다.

그 외 영상검사로 파킨슨 PET입니다.
이 검사를 통해 파킨슨병의 주된 원인인 뇌의 도파민 소실의 정도를 확인합니다.
그밖에 자율신경계 검사, 어지럼증 검사와 더불어 인지 기능 검사도 진행합니다.
파킨슨병 치료방법
파킨슨병은 우리 뇌에서 도파민 분비가 적게 되면서 몸이 떨리고 느려지는 증상이 나타납니다.
파킨슨병 치료방법 첫 번째로 줄어든 도파민량을 치료제로 복용하는 것입니다.
파킨슨병 진단을 통해 환자의 나이나 인지 장애 정도에 따라 다양한 약물 치료를 진행하게 됩니다.

파킨슨병은 완치는 어렵지만 초기증상 시 진단을 받고 약물 치료를 할 경우 얼마든지 일상생활이 가능합니다.

나이가 드신 부모님의 느려진 행동이나 깜빡깜빡하시는 기억을 '그냥 나이가 드셔서 그런가 보다.'라고 넘기지 마시고 신경과를 내원해 진단을 받아보시는 것을 권장드립니다.
파킨슨병의 가장 효과적인 치료는 초기 진단입니다.
'바디 테라피' 카테고리의 다른 글
| 갑상선 기능 항진증 증상, 원인, 치료법 (0) | 2022.11.16 |
|---|---|
| 갑상선 기능 저하증 증상, 치료방법과 호르몬제 복용법 (0) | 2022.11.15 |
| 삶을 바꾸는 간헐적 단식 방법 16:8 (0) | 2022.11.05 |
| 몸이 보내는 경고 뇌졸중 전조증상 체크리스트 (0) | 2022.10.29 |
| 여자 췌장암 초기증상과 췌장에 좋은 음식 (0) | 2022.10.28 |
댓글